New thread
Could a discovery in scanning enable psychiatrists to spot the neurological causes of depression in patients' brains and treat them, just as doctor scan identify broken bones with an x-ray? That's the suggestion raised by recent research published in the journal Nature by psychiatrists at Weil Cornell University in New York..


Functional magnetic resonance imaging
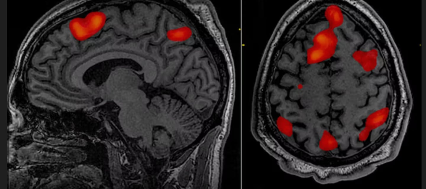
Functional magnetic resonance imaging (IMRI) scanners were used to compare the brain activities of clinically depressed and healthy people. By analysing both sets of scans, the researchers discovered people with depression have a particular brain net- work which appears to be nearly twice as big as their psychologically healthy counterparts. They suggested depression may be linked to this network and could be a new target for treatment or a way to prevent it entirely. The identified brain network is called the frontostriatal salience network and it plays a role in processing rewards and deciding what merits attention. 'Having a larger salience network appears to increase the risk for depression,' said Conor Liston, a professor of psychiatry and neuroscience who co-authored the research. Crucially, this study highlights a seismic shift in mainstream medical belief about what causes depressive feelings. This is thought to be because one of the main symptoms of depression is anhedonia - the inability to feel pleasure and enjoy everyday activities. Since the 1980s, psychiatrists have commonly blamed a 'chemical imbalance' in the brain - specifically, a lack of serotonin and drug companies launched a generation of antidepressants that promised to correct this imbalance: namely, the selective serotonin re-uptake inhibitors (SSRIs), such a s Prozac and Zoloft. But these pills a re-increasingly shadowed by serious concerns about their usefulness, and their debilitating potential side - effects, including weight gain, sexual dysfunction, and an increased risk of suicidal thoughts. Two years ago, the Beyond Pills All-Party Parliamentary Group which included nine professors of medicine and psychology, published an open letter in the BMJ claiming that rigorous analyses show SSRIs 'have no clinically meaningful benefit beyond placebo for all but the most severely depressed patients'. What's more, studies show the drugs can cause serious dependency a n d crippling withdrawal symptom.


