Depression
Hidden flaw in your brain
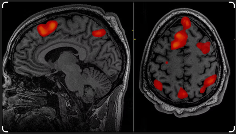
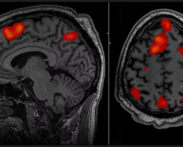
Published in the journal Nature by psychiatrists at Weill Cornell University. Functional magnetic resonance imaging (fMRI) scanners were used to compare the brain activities of clinically depressed and healthy people.




People and mental health
Mental health is a crucial aspect of overall well-being, and in the present time, it's experiencing both challenges and increased awareness. While mental health problems are increasingly recognised, with a greater number of people seeking help, there's also a growing recognition of the impact of factors like the COVID-19 pandemic, socioeconomic pressures, and societal changes on mental well-being.








